En Nodus Salud entendemos que cada paciente tiene necesidades únicas y que existen distintas soluciones para la rehabilitación dental, sin necesidad de recurrir a implantes. Entre las opciones más comunes se encuentran las prótesis de resina y las prótesis esqueléticas. En este artículo exploramos las ventajas, desventajas, cuidados y situaciones ideales para elegir cada una de estas prótesis sin implantes, para ayudarte a tomar una decisión informada y acertada.
1. Prótesis de resina: Ligereza y adaptabilidad
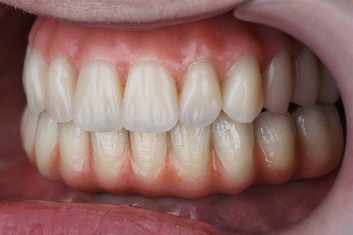
Las prótesis de resina, son una opción versátil y económica para la sustitución de dientes. Estas prótesis son fabricadas completamente en resina acrílica, lo cual las hace ligeras y cómodas.
Ventajas:
- Ligereza: Gracias a la resina acrílica, estas prótesis son livianas y cómodas de usar, adaptándose bien al contorno de las encías.
- Costo accesible: Son una de las opciones más asequibles, lo que las hace ideales para pacientes que buscan una solución rápida y económica.
- Facilidad de ajuste: En caso de cambios, como por ejemplo, posteriores pérdidas de dientes, las prótesis de resina son fácilmente modificables.
Desventajas:
- Menor durabilidad: La resina es menos resistente que otros materiales, por lo que estas prótesis pueden desgastarse o fracturarse con el tiempo.
- Estabilidad limitada: Al no estar ancladas en implantes ni estructuras metálicas, pueden moverse durante la masticación y precisar del uso de pegamento para mantenerlas fijas.
- Paladar para hacer vacío: En caso de prótesis superiores puede ser necesario que hagan vacío con el paladar para mejorar la fijación, lo cual puede resultar incómodo para algunos pacientes.
Cuidados:
Es fundamental limpiarlas diariamente con productos específicos para prótesis removibles, evitando pastas dentales abrasivas. También es recomendable no dormir con ellas manteniéndolas lo más limpias y secas posibles.
¿Cuándo son adecuadas?
Las prótesis de resina son ideales para personas que buscan una solución temporal o para aquellos que desean evitar procedimientos más invasivos y costosos. Son especialmente adecuadas para pacientes con pérdida parcial de dientes y con necesidades estéticas moderadas. Sin embargo, pueden no ser la mejor opción para personas que buscan una solución extremadamente duradera o para quienes requieren una estabilidad absoluta al masticar.

2. Prótesis esqueléticas: Resistencia y fijación
Las prótesis esqueléticas, son una opción de prótesis removible que combina una estructura metálica con bases de resina que sostienen los dientes artificiales. Estas prótesis ofrecen una mayor fijación y estabilidad en comparación con las de resina ya que además de adaptarse a la encía van sujetas en los dientes naturales del paciente.
Ventajas:
- Mayor estabilidad: Gracias a la estructura metálica, estas prótesis se ajustan mejor a los dientes restantes, proporcionando una mayor seguridad al masticar y hablar.
- Durabilidad superior: La estructura metálica es más resistente y duradera, lo que prolonga la vida útil de la prótesis en comparación con las de resina.
- Distribución equilibrada de la carga masticatoria: Al estar apoyadas en los dientes naturales, estas prótesis distribuyen mejor la presión de la masticación, lo cual es beneficioso para la salud bucal.
Desventajas:
- Estética: La estructura metálica que la fija a los dientes naturales puede ser visible en ciertos casos, lo cual puede afectar la apariencia en algunas personas.
- Peso Mayor: Aunque no suelen ser excesivamente pesadas, son más robustas que las prótesis de resina, lo que puede resultar menos cómodo para algunos pacientes.
- Modificaciones más costosas: En comparación con las prótesis de resina, puede ser más complicado añadir dientes a futuro.
Cuidados:
Las prótesis esqueléticas deben limpiarse a diario, prestando especial atención a la estructura metálica para evitar acumulación de placa o sarro. Se recomienda el uso de cepillos de cerdas suaves y productos específicos para prótesis dentales. También es importante revisarlas periódicamente con el especialista para ajustar la estructura si es necesario.
¿Cuándo son adecuadas?
Las prótesis esqueléticas son ideales para pacientes que buscan una solución a largo plazo y que desean una prótesis más estable. Son adecuadas para personas con varios dientes naturales sanos, ya que estos sirven de apoyo para mejorar la fijación y la estabilidad de la prótesis. Además, es una excelente opción para quienes valoran la durabilidad y funcionalidad, ya que distribuyen de manera equilibrada la carga masticatoria.

Conclusión
En Nodus Salud, entendemos que tanto las prótesis de resina como las esqueléticas tienen su lugar según las necesidades y preferencias de cada paciente. Mientras que las prótesis de resina son una opción accesible y adaptable, las prótesis esqueléticas ofrecen una solución más estable y duradera. La elección entre una y otra depende de factores como la cantidad de dientes naturales presentes, el presupuesto y el objetivo a largo plazo del paciente.
Cada opción tiene sus ventajas y sus particularidades, y en Nodus Salud estamos aquí para asesorarte en el proceso. Si estás considerando una prótesis sin implantes, contáctanos para una evaluación personalizada. ¡Nuestro equipo estará encantado de ayudarte a encontrar la mejor solución para tu salud y confianza dental!

